Tratamientos
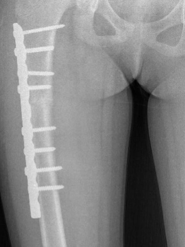
Caso No. 1 - Antetorsión femoral derecha
Preoperación

Posoperación


Antetorsión femoral derecha
Diagnóstico: Antetorsión femoral derecha (deformidad rotacional interna)
Tratamiento quirúrgico realizado: osteotomía femoral desrotadora derecha y fijación interna
Caso No. 2 - Enfermedad de Blount derecha
Preoperación

Posoperación

Enfermedad de Blount derecha
Diagnóstico: Enfermedad de Blount derecha (deformidad mixta de la tibia tanto frontal y rotacional)
Tratamiento quirúrgico: osteotomía correctiva y fijación externa Taylor Spatial Frame
Caso No. 3 - Displasia de cadera derecha con luxación
Preoperación


Posoperación


Displasia de cadera
Diagnóstico: Displasia de cadera derecha con luxación
Tratamiento quirúrgico realizado: reducción abierta, acetabuloplastía y acortamiento femoral
Operada a los 5 años por no diagnosticarse antes, ahora tiene una cadera derecha útil
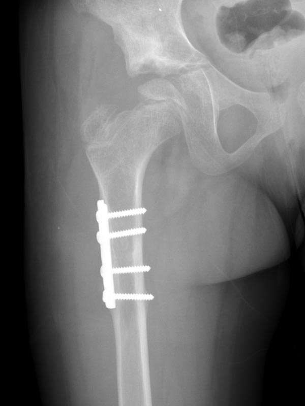
Caso No. 4 - Deslizamiento epifisiario
Preoperación

Posoperación


Deslizamiento Epifisiario Femoral
Diagnóstico: deslizamiento epifisiario femoral proximal crónico derecho
Tratamiento quirúrgico: luxación quirúrgica de la cadera derecha y realineación de la cabeza femoral.
Caso No. 5 - Hallux valgo severo
Preoperación

Posoperación

Hallux Valgo Severo
Diagnóstico: Hallux valgo severo (juanete severo)
Tratamiento quirúrgico: Osteotomía correctiva y balance de partes blandas
Con buen resultado funcional.
Caso No. 6 - Hemimelia tibial derecha
Preoperación

Posoperación 1

Hemimelia Tibial Derecha
Diagnóstico: Agenesia de peroné + Acortamiento de extremidad inferior derecha
Primera cirugía: Fijación externa Ilizarov para alargamiento femoral
Posoperación 2

Rehabilitación

Segunda cirugía: cambio a fijación interna (7cm de alargamiento)
Paciente rehabilitándose y aun pendiente el alargamiento de la tibia derecha
Caso No. 7 - Displasia de cadera derecha y síndrome down
Paciente femenino de 4 años de edad. Rx preoperatoria

Transoperatoria de Acetabuloplastia

Diagnóstico: Síndrome de Down con Displasia de cadera derecha con luxación.
Posoperación luego de la reducción abierta

Tratamiento quirúrgico realizado: Rx posoperatoria luego de la reducción abierta, acetabuloplastía y acortamiento femoral.
Caso No. 8 - Displasia residual de cadera derecha
Preoperación

Diagnóstico: Displasia Residual de cadera derecha.
Tratamiento quirúrgico realizado:
Femenina de 12 años con Displasia acetabular residual (cobertura acetabular insuficiente, cabeza femoral esférica)
Planificación preoperatoria


Planificación preoperatoria: Osteotomía pélvica de Chiari (ahora curvilínea recomendada por Hall), agregando injerto óseo (tectoplastía)
Posoperatoria

Posoperatoria: Cirugía de salvatage realizada: Osteotomía pélvica de Chiari y tectoplastía
Caso No. 9 - Polidactilia posaxial del pie izquierdo.
Preoperación

Posoperación

Polidactilia posaxial
Diagnóstico: Polidactilia posaxial del pie izquierdo.
Tratamiento quirúrgico realizado: Ablasión de polidactilia.
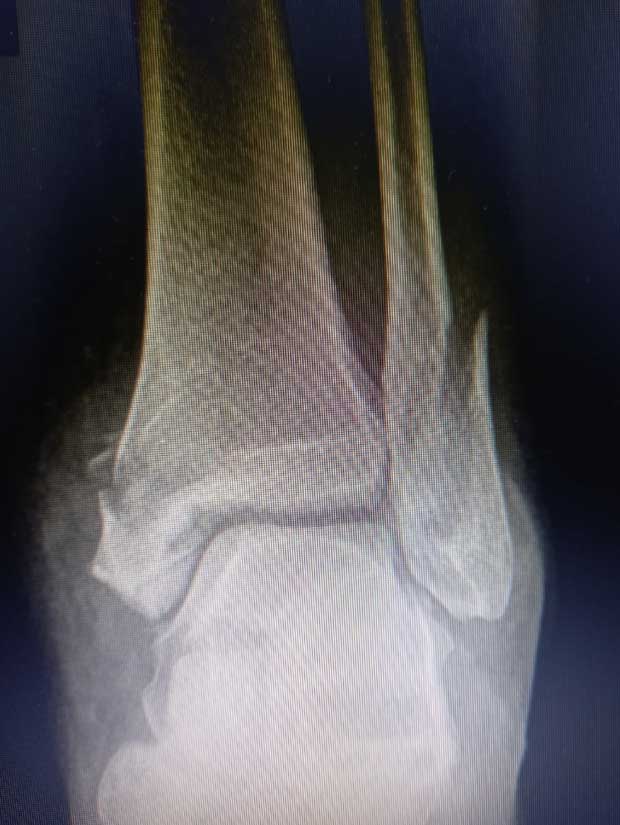
Caso No. 10 - Luxofractura de tobillo
Preoperación

Posoperación

Diagnóstico: Luxofractura de tobillo
Rx de perfil transoperatoria

Rx transoperatoria anteroposterior

Tratamiento: Cirugía: reducción abierta y fijación interna
Caso No. 11 - Enfermedad de Blount Bilateral
Preoperación
Diagnóstico: Enfermedad de Blount Bilateral
Rayo X Posoperación

Rayo X: Osteotomía valguizante de tibia derecha.
Preoperación

Posoperación: Osteotomia valguizante de tibia izquierda de corrección progresiva